Categories: Lo BuenoSociedad

Crean modelo para predecir cáncer de mama

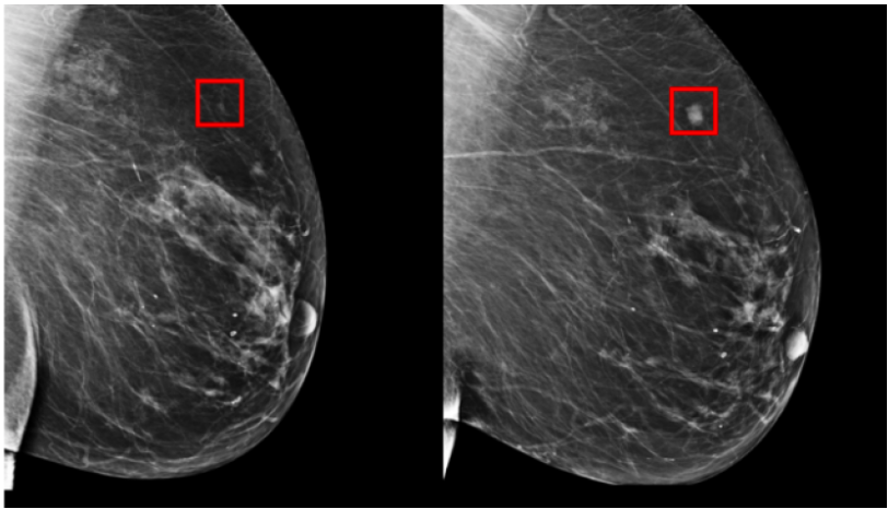
Ciudad de México, 08 Julio.- Un grupo de investigadores del Instituto de Tecnología de Massachusetts (MIT) crearon un modelo de aprendizaje que puede predecir el cáncer de mama hasta cinco años antes de que aparezca.

Regina Barzilay, autora principal del proyecto, destacó que esto fue posible gracias a un modelo capaz de aprender patrones de una mamografia que detalla cuales tejidos son precursores de tumores malignos.

Esto es un hito que hizo posible que en lugar de identificar estos patrones de manera manual, se pueda deducir el resultado directamente de los datos de más de 90 mil mamografías.

“Desde la década de 1960, los radiólogos han notado que las mujeres tienen patrones únicos y ampliamente variables de tejido mamario visibles en la mamografía”, explicó Constance Lehman.

Al ser probada esta técnica, se colocó con precisión al 31% de todas las pacientes con cáncer de mama en su categoría de mayor riesgo, en comparación con sólo el 18% de los modelos tradicionales.

Estos resultados son mejores para predecir el riesgo que los enfoques existentes, ya que los patrones son demasiado sutiles para que el ojo humano los detecte.

El proyecto también tiene como finalidad hacer que la evaluación de riesgos sea más precisa para las minorías raciales, ya que muchos modelos se han desarrollado en poblaciones blancas y han sido menos precisos para otras razas.

“Esto es muy importante dado que las mujeres negras han demostrado ser 42% más propensas a morir de cáncer de mama debido a diferentes factores que pueden incluir diferencias en la detección y el acceso a la atención médica”

De acuerdo a los investigadores, esto podría permitir que los médicos usen mamografías para ver si los pacientes tienen un mayor riesgo de enfermedades cardiovasculares y otros tipos de cáncer.

ReporteDMX

Entradas recientes

Luis Susarrey y el fortalecimiento de la salud pública en San Pedro: nuevo consultorio amplía la cobertura médica municipal

San Pedro Garza García continúa consolidando su red de atención médica con la inauguración del…

10 horas hace

Día del Maestro: La docencia ante la inteligencia artificial

El Día del Maestro también motiva una pregunta sobre cómo se debe enseñar y aprender…

17 horas hace

J Balvin se presenta en CDMX

J Balvin regresó a la Ciudad de México confirmando por qué sigue siendo uno de…

17 horas hace

Concluye encuentro entre Trump y Xi Jinping

El presidente estadounidense, Donald Trump, afirmó este viernes (15.05.2026) que su visita de Estado a…

18 horas hace

UNAM, Banco Azteca y Santiago Arau revelan la memoria geográfica de la CDMX con la exposición «Patrimonio: Agua y Fuego» en el MUCA

La Ciudad de México, esa metrópoli de asfalto interminable y ritmo frenético, oculta bajo su…

1 día hace

Eduardo Ortegón Williamson subraya impacto del programa “AyD Trabaja en tu Colonia” en Guadalupe

Las labores de mantenimiento sanitario continúan avanzando en distintos sectores de Guadalupe como parte del…

2 días hace